打过疫苗,怎么还会得肺结核
2022-01-28 09:41:00临床工作中,经常遇到中学生入学体检时发现肺结核的案例。
一些父母表示疑惑:孩子小时候就接种过卡介苗,怎么还会得肺结核?
在我们专科医生看来,这并不奇怪。
预防效果有限,最大作用是减少急重症
卡介苗预防结核病的有效率十分有限。
它不同于常见的乙肝疫苗等,可以产生相对持久的保护性抗体。
它是减毒活疫苗,带有一定的病菌活性,接种后,通过刺激机体产生可以杀灭结核杆菌的细胞,从而产生免疫保护。
但随着时间的推移,这种刺激会逐渐减弱,免疫保护就逐渐降低。
通常在10~15年后,也就是青少年时期,免疫保护基本消失。
此外,卡介苗所能产生的免疫保护作用,在不同地区的差异性也较大。例如,在北美和北欧,保护率最高;在热带地区,保护率却极低。
虽然如此,世界卫生组织仍坚持建议,应广泛接种卡介苗。
因为,它可以明显降低肺结核发展为结核性脑膜炎、粟粒性肺结核等重症并发症的概率,有效降低死亡率。
所以,对于结核病这样的高发传染病,卡介苗的作用仍然举足轻重。

重复接种卡介苗,能延长免疫保护力吗
并不推荐这样做。
研究结果显示,接种越早,免疫保护效果越好。
卡介苗一般在出生后24小时左右接种。如有发热、皮肤病,或是早产、难产等不宜接种的情形,建议在3月龄以内补充接种。
如仍有特殊情况未能接种者,可安排在3月龄至3岁之间。这个阶段,应先做结核菌素试验,结果为阴性方可接种。
如果超过4岁,就不建议再补种卡介苗。
此时接种,其保护作用已经非常有限。而且,由于卡介苗是减毒活疫苗,有一定的病菌活性,注射后可能引发结核病。
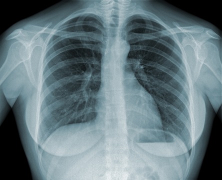
常咳嗽,别以为只是感冒!
肺结核的常见症状是咳嗽、咳痰,很多时候与感冒、慢性咽炎、慢性鼻炎等症状相重叠,而被忽视。
其实,一旦出现以下症状,就应及时到医院就诊,进行胸片或低剂量胸部CT检查,排除肺结核的可能。
●连续咳嗽、咳痰2周以上;
●伴有咯血、午后低热、夜间盗汗、胸痛乏力、食欲减退、体重减轻以及呼吸困难等一种或多种症状。
越早治疗,治愈的概率越大,可达90%以上。

知多点:手臂上这个疤,就是打卡介苗留下的
你的胳膊上,有没有一个指尖大小的疤痕?
它往往就是接种卡介苗留下的“卡疤”。
卡介苗是世界上唯一的结核疫苗,自1921年启用以来,已在180多个国家应用。要列举全球接种最广泛的疫苗,必须有它一席。
目前,它属于我国“一类疫苗”,全民普及,免费接种。
如无特殊原因,宝宝出生24小时左右,都要接种卡介苗。
卡介苗一般采用“皮内注射”法,刚接种完,药液会在表皮下形成一个小水疱,等待人体慢慢吸收。
此后2~3个月,水疱处会形成脓包甚至溃烂、渗出脓液,然后结痂;结痂脱落后,就会形成一个疤痕,多为不规则圆形,即“卡疤”。
没有卡疤,是没接种成功吗
有卡疤,说明接种过卡介苗,但不能证明就一定形成了免疫保护。少数人因为个体差异,没有形成明显卡疤。
那怎么知道有没有产生免疫保护呢?
可以通过结核菌素试验来确认。不过,一般来说,没必要专门去查验。
本文来自《家庭医生》









京公网安备11010502039775号


