你身体的细胞年轻吗?
2017-12-20 13:16:00你能说出自己的年龄,也许还能说出身边其他人、其他动物、其他植物的年龄,每个生物体都有自己的年龄。其实,不只是生物体,组成生物体的细胞也都有自己的年龄。生物体的生长、发育和衰老,都是以每个细胞的新陈代谢为形式进行的。你想知道组成你身体的细胞年龄几何吗?
所有细胞都有新生和死亡
细胞就像一个微型的生命体,需要从外界摄入氧气和营养物质,排出二氧化碳和代谢废物。不仅如此,新细胞不断产生,旧细胞不断死去,以此保证生物体功能的正常运转。人的一生中,几乎所有细胞都在更新换代,只不过不同种类的细胞,年龄不同,寿命也不同。例如,人的皮肤细胞大约每隔30 天到50 天会更新一次,血液中的红细胞每隔260 天左右就会更新一次,而大脑皮层中的某些神经细胞则可能在人的一生中都不再更新,这可能是人能够维持稳定的性格和智力的原因之一。
一个细胞的年龄能够说明它所处的生命状态,而构成生物体的所有细胞的年龄情况则能够说明该生物体所处的生命状态。那么,你身体的细胞年轻吗?测定细胞的年龄可不是一件简单的事情!
我们知道,有很多办法可以用来确定宏观生物体的年龄,例如观察树的年轮、动物的牙齿,或者直接观察它们是欣欣向荣还是垂垂老矣。但细胞与生物体不同,虽然可以通过显微镜观察细胞,但很难通过直接观察细胞的形态来判断一个细胞是年轻还是衰老。

“碳14”告诉你生物体死亡时间
碳元素是组成生物体的核心元素。天然状态下的碳元素有三种不同的存在形式,其中碳12 和碳13 比较稳定,而碳14 是不稳定的,它会随着时间的流逝而发生放射性衰变。碳14 的半衰期约为5730 年,也就是说大约每过5730 年就会有一半的碳14 原子核衰变成其他稳定状态下的原子核。再过5730 年左右,剩下未衰变的碳14 原子核中,又会有一半发生衰变……如此一来,科学家就可以利用碳14 的这个性质对细胞年龄进行测定了。
生物体活着的时候,它们会不断与外界发生物质交换,例如摄入碳水化合物、呼出二氧化碳气体,因此衰变了的碳14 可以从外界得到补充,生物体内碳14 的含量得以与环境中碳14 的含量保持在相同的水平上。而环境中的碳14 含量是一个相对稳定的值(宇宙射线会与地球大气作用,持续产生碳14 原子),数万年内都不会有多少变化。
生物体死亡后,停止了生命活动的遗体或残骸不能再与外界发生物质交换,原有的碳14 就会逐渐衰变、消失。这时候,如果测定这些残骸中的碳14 含量,就可以知道相对于原来的碳14 含量衰变了多少,从而推测出残骸的年代。例如:残骸中的碳14 含量恰为外界环境的一半,则可以推测生物体的死亡时间约为距今5730年前;残骸中的碳14 含量恰为外界环境的1/4,则可以推测生物体的死亡时间约为距今11460 年前;依此类推。
这个方法就是著名的“碳14 定年法”。自从20 世纪中期由美国科学家威拉德·利比发明以来,已经被广泛用于古生物学、考古学、地球科学等研究和实践中。不过,“碳14定年法”虽适用于死去的生物体残骸,却不能直接应用在活细胞的年龄测量上。这是因为碳14 的半衰期实在是太长了,一般活体细胞的寿命只有几个月到几年,在这么短的时间内,碳14 衰变的量是非常少的,很难给出准确的测量结果。

“核爆突跃法”测定活体细胞年龄
过去,科学家会使用其他种类的标记分子或同位素来追踪细胞年龄。例如选用5- 溴尿嘧啶标记D N A(脱氧核糖核酸)分子,或是用放射性的碘131 标记蛋白质。但这些标记物本身可能会对生物体和细胞造成影响,人为引入的放射性同位素还会有导致细胞癌变的风险。这些方法应用在人体实验上有着诸多限制,都不是理想的细胞年龄测量方法。
2005 年,瑞典卡罗琳斯卡学院的克丝缇·斯伯丁等科学家建立了一种全新的方法——核爆突跃法,这种方法的科学基础竟然是发生在20 世纪的若干次原子弹爆炸实验!
1945 年7 月16 日,美国在新墨西哥州的荒漠中爆炸了人类历史上第一颗原子弹,代号为“瘦子”。随后,截止到1960 年,美国、苏联、英国三个掌握核技术的国家进行了超过200 次核试验。
科学家很快就发现,地面核试验造成了严重的生态后果。爆炸产生的放射性残留物不仅落在了当地,还随着大气环流进入到全球环境中,造成世界范围内放射剂量的上升。因此,1963 年8 月,美国、苏联、英国三国在莫斯科签订《部分禁止核试验条约》,禁止了除地下核试验之外的一切核试验。此后,人类的地面核试验基本停止。
核爆炸产生了大量放射性物质,其中就包括碳14。从1950 年到1963 年,大气对流层中的碳14 含量增加了将近1 倍,出现一个非常显著的峰值,这被称为碳14 含量的“核爆突跃”。但由于碳14 原来的含量很小,因此这种增加对人类日常生活造成的危害还是可以忽略不计。而且1963 年以后,由于地面核试验已停止,没有新的碳14 增加,且已有的碳14 被生物圈、水圈以及岩石圈吸收,故而碳14 在大气层中的含量逐年减少。
不过,对于“核爆突跃法”来说,碳14 增加的这1 倍含量,就不可忽略啦!因为碳14 会随着生物体与环境的物质交换而进入生物体内,既然碳14 的含量与自然年份有关,那么测量碳14 在生物体内的含量,不就可以反过来确定生物体的年龄了吗?斯伯丁等人巧妙地利用了激增的碳14 峰值,将其用于细胞年龄的测量,取得了巨大的成功。
前面已经介绍过,新的细胞总是从旧的细胞分裂产生的。而细胞分裂时需要合成遗传物质DNA,合成所需的原料则来自于生物体从环境中摄取的营养,因此,DNA中的碳14 含量实际上记录了周围环境中碳14 的含量。由于1963 年之后,自然环境中碳14 的含量每年都不相同,因此,只要细胞诞生于这段时间内,就可以通过追溯生物体内碳14 的含量而得到细胞的年龄。

帮助我们重新认识人体
利用“核爆突跃法”测定细胞年龄可以精确到年,这比起传统的“碳14 定年法”,测量精度得到了极大提升。并且,人体细胞本身就有碳14 同位素,不需要进行任何人工标记,避免了引入新的放射性元素对人体可能产生的危害,因此特别适于对人体细胞的测量。科学家利用这一方法得到的研究成果,让我们对人体产生了新的认识。
大脑皮层神经细胞从不更新
科学家首先研究了成年人大脑皮层中神经细胞的年龄,结果发现,大脑皮层细胞的年龄与个体的实际年龄是一致的。这说明大脑发育完成后,大脑皮层细胞就不再更新了。俗话说,
“江山易改,本性难移”,而大脑皮层细胞正是人类精神活动的主要物质载体,这项研究无意中给传统谚语提供了科学依据。

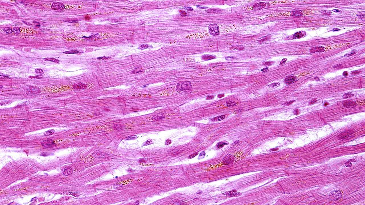
心肌细胞会更新一半
生物学家过去认为,像心肌细胞和高级神经细胞这样的细胞不会更新换代。因为心脏和神经在人的一生中都不能休息,每个心肌细胞和神经细胞都要不断工作,理论上既不需要更新换代,也不能直接更新换代。
但利用“核爆突跃法”测定心肌细胞年龄后却发现,心脏在人的一生中会更新大约一半的心肌细胞,不过25 岁以后,更新速度开始逐渐放缓。大脑中的海马体每年也会更新不到2% 的神经细胞。由此看来,人体自我更新的能力还是很强的。
心肌细胞自我更新能力的发现在医学上有着更大的意义。在此之前,一般认为心肌细胞的更新是很难的,因此很多导致心肌损伤的疾病都被认为是难以治愈的。而现在,科学家可以针对心肌细胞的更新能力开发新的治疗方式,帮助患者康复。

脂肪细胞体积会变,数量不变
“核爆突跃法”也发现了为什么有的人怎么吃都不胖,而有的人“喝口水都长肉”。人体中每年有大约10% 的脂肪细胞被更新,但同时也有大致相同数量的脂肪细胞会凋亡,因此脂肪细胞的数量始终是稳定的。我们发现自己变胖或变瘦了,其实是脂肪细胞的体积在变化,脂肪细胞的数量并没有明显的增加或减少。
进一步研究发现,超重人群的脂肪产生速度并没变快,而是消耗脂肪的速度减缓,才导致了脂肪累积。也就是说,那些一吃就胖的人,很可能是他们的脂肪细胞代谢脂肪的能力不足;而那些脂肪细胞消耗脂肪速度很快的人,就怎么吃都吃不胖。
随着碳14 峰值的逐渐消失,2000 年之后的生物样品已经很难用“核爆突跃法”直接测定细胞年龄了。目前,科学家正在研究其他新的方法来测量细胞年龄,相信在不久的将来,我们身上每一个细胞有多少“岁”了,我们都能通过测量得到。












